In ‘Exploring the Cell‘, the sixth in our weekly series of articles by NUI Galway researchers, Dr. Jessica Hayes, Research Fellow within the Orthobiologics group in the Regenerative Medicine Institute (REMEDI), takes us on a journey inside the cell and tells us how stem cells are being used in medicine to encourage the body to repair itself.

The Latin phrase ‘Omnis cellula e cellula’ or, all cells come from cells, was made popular by the German pathologist Dr Rudolph Virchow, and it is this concept that forms the basis of regenerative medicine. But what are cells and why are they so important?
Cells are the building blocks of our body. They contribute to the formation of tissues such as skin and muscle, and different tissues form organs such as the heart, liver and brain. In turn, a collection of organs form systems such as the respiratory, reproductive, cardiovascular and digestive systems. Finally, these organ systems form the basis of human form (Figure 1).
In basic terms, there exists two types of cells; eukaryotic (‘true nucleus’) and prokaryotic (‘before nucleus’). While there are several characteristics that define these cells, the simplest classification is that eukaryotic cells contain organelles (see below) and a membrane bound nucleus while prokaryotic cells lack a membrane bound nucleus, and organelles are generally absent. Examples of eukaryotic cells include animal and plant cells while bacteria are one of the most commonly known prokaryotic cells.
Inside the Cell

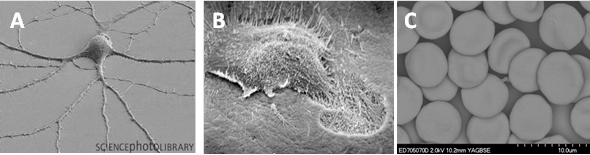
Cells themselves take on different morphologies (shape) depending on the tissue in which they reside. This allows them to adapt specifically for their function within that tissue. For instance, nerve cells or neurons have numerous cellular processes known as dendrites extending out from the cell body (Figure 2 (A)). This adaption to their morphology allows for rapid and frequent communication to be relayed between cells of the central nervous system, which allows us to react to stimuli in an appropriate manner. In contrast, osteoclasts are responsible for removal of mineral from bone. When compared with neurons, osteoclasts are large multi-nucleated cells (several nuclei) that have what is described as a ‘ruffled border’ (Figure 2 (B)). It is this characteristic that allows osteoclasts to attach and digest bone within a specific region.
Erythrocytes (red blood cells) are ideally shaped for their function of transporting oxygen throughout the body. In Figure 2 (C), the characteristic round shape of red blood cells can be seen. However, on side view these cells are biconcave (become thinner towards the middle section). This adaption in shape allows for greater efficiency to be achieved in oxygen diffusion. Furthermore, red blood cells have a flexible membrane which allows them to contort to pass through blood vessels and capillaries which may be smaller than themselves.

http://health-pictures.com/cell/eukaryotic-cell.htm#.VBAL2_ldW0I)
Despite cells taking on different morphologies, a basic overview of cell structure can be described.
Think of your body as a whole. A cell is not much different really.
We have a skeleton, made up primarily of our bones, to provide structure to our body and to allow movement through muscles, ligaments and tendons. Cells have a cytoskeleton made up of filaments that work in a similar way to provide structure and to allow movement, or migration. Similar to the organs within our bodies, cells have organelles, which perform specific functions within the cell. The most common organelles of eukaryotic cells include nucleus, mitochondria, ribosomes, plasma membrane, Golgi apparatus, cytoskeleton, centriole, cytoplasm and endoplasmic reticulum (Figure 3). Each of these organelles has a specific function that is vital for cell survival. For instance, mitochondria generate a molecule known as Adenosine Triphosphate or ATP, which provides the cell with energy to function.
The importance of these microscopic entities should never be overlooked, as diseases such as cystic fibrosis, Alzheimer’s, Parkinson disease, diabetes and Emery-Dreifuss muscular dystrophy, to name a few, have all been linked to organelle dysfunction.
Cells in Medicine

Regenerative medicine is an innovative field of research that functions to alleviate several debilitating and life-threatening diseases, through therapies that permit the body to repair, restore and regenerate damaged or diseased cells, tissues or organs. While the field of regenerative medicine is large, the application of stem cells in cell replacement therapies is believed to pave the way for tackling many currently life-altering or incurable diseases.
Mouse embryonic stem cells were first isolated by Evans & Kauffman in 1981, but it was not until late 1998 that two independent groups (led by James Thompson and John Gearhart) successfully derived stem cells from human embryos. The news was met with mixed emotion. On one hand, these cells had the unprecedented opportunity to cure millions of people. On the other hand, others took a cautious approach given the unresolved ethical implications of deriving cells from human embryos. To this day, approaching almost two decades later, the debate on the use of embryonic stem cells is still a hot topic.
An ethically acceptable alternative seemed to be found with adult stem cells which allowed the field to move forward. Adult stem cells are stem cells derived from differentiated tissue i.e. from tissue within a specific organ. Sources include the bone marrow (Figure 4), eye, brain, blood, skeletal muscle, placenta and umbilical cord. While embryonic stem cells have the ability to become many cell types within the body, adult stem cells tend to have a more restricted ability to differentiate into cell types of the tissue of origin. However, in recent years there has been huge expansion in the field of induced pluripotent stem cells (iPSCs). This involves the re-programming of differentiated cells such as skin cells (known as fibroblasts) with specific genes that induce these cells to become pluripotent stem cells.
Regenerative Medicine at NUI Galway

Work at the Regenerative Medicine Institute (REMEDI) encompasses several facets of stem cell research, carried out in state-of-the-art facilities. NUI Galway houses the newly opened Centre for Cell Manufacturing Ireland (CCMI), which is one of less than half a dozen facilities across Europe licensed for the production of stem cells for use in human clinical trials, while REMEDI itself is located in the new Biosciences building, recently opened by An Taoiseach Enda Kenny TD.
REMEDI is involved in several clinical trials that treat diseases such as corneal degeneration, vascular problems associated with diabetes and osteoarthritis (Figure 5). One of the recently completed studies looked at the effect of adipose derived stem cells (stem cells from fat tissue) in the treatment of osteoarthritis (OA). OA is a debilitating disease of the joint that is classed as the 11th highest contributor of global disability. It is an incurable condition and current intervention therapies generally involve pain-relieving measures. Cell therapies have therefore emerged as promising candidates for the treatment of OA. Cells implanted into a patient can either be allogeneic (from a different person) or autologous (from the patient being treated). One of the advantages of mesenchymal stem cell transplantation is that these cells are believed to be immune-privileged. Essentially, this means that donor cells implanted into a patient are not rejected, although understanding this mechanism and its implications are currently being investigated by REMEDI researchers and others.
REMEDI, in addition to some collaborating EU institutes, have previously conducted a study that looked to see if intra-articular injection of autologous adipose derived stem cells (injection of stem cells within the joint space of the knee) could alleviate the pain associated with OA and increase patient mobility. The results from the phase I trial proved highly successful, with patients reporting improved mobility and reduced pain. This therapy is now set to be tested in a phase II human trial that involves almost 200 patients across Europe.
The human body is an extraordinary machine comprising a well-orchestrated interaction of atoms, cells, tissues and organs. We as humans descend essentially from a tiny ball of cells that are ultimately responsible for every single aspect of our form. Regenerative medicine attempts to harness this immense power to tackle diseases that ultimately cells themselves are involved in. ‘All cells come from cells’ – it would seem realistic therefore, that the cure for many diseases lie in the cells themselves!
To find out more about stem cells, check out the EuroStemCell film page, which has short videos (including the one below) and a feature documentary about different aspects of stem cell science, ethics, cell culture and cloning.

